Case Studies

Case Study #1:

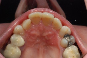
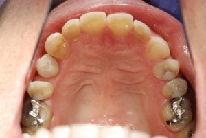
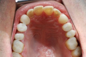
CHALLENGE: This patient (see above) was severely overclosed due to excessive wear on all of his teeth and had recently started to experience pain in the left side of his jaw.

 

PROPOSITION: It was proposed to him that his vertical dimension of occlusion/VDO be restored by rebuilding his teeth to their original height inexpensively with composite resin bonding.

 

SOLUTION: A strong composite resin was bonded to the canines, premolars and molars. Amalgam/mercury fillings were first removed and replaced. The 10 teeth were rebuilt and sculpted in about 3 hours.

 

RESULT: He loves his new strong bite, normal size teeth, ability to chew better, brighter looking smile and no longer experiences jaw pain.

Case Study #2:

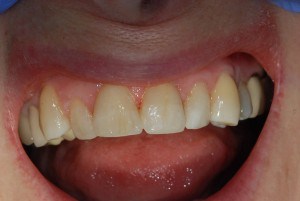
CHALLENGE: Our patient in her 70’s (see above) brought in a photo of herself in her 20’s and her challenge to us was to help her enjoy the same bright smile she used to have half a century ago. Due to her gums receding, she was unhappy with the many spaces between her teeth as well as the yellowing.

 

PROPOSITION: Need info from client

 

SOLUTION: Need info from client

 

RESULT: She was grinning ear to ear afterwards and was thrilled to have this smile makeover in a day. She can’t wait to return for the same makeover on her lower teeth.

Case Study #3:

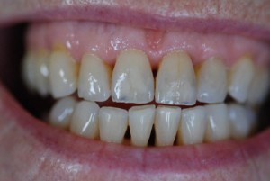
CHALLENGE: Due to previous unpleasant experiences, this patient (see above) avoided going to see a dentist for many years. She travelled over an hour to see us and was relieved when informed that her teeth could be saved.

 

PROPOSITION: Need info from client

 

SOLUTION: She had all of this decay excavated without the need for a local anesthetic injection. Need info from client

 

RESULT: She was amazed at how easy the process was completed in one appointment and is ecstatic with her new smile. She no longer has any hesitations about proceeding with the rehabilitation of the rest of her teeth.

Scroll to Top